
Deep Art Medicine Contoures
We use a state of the art AI algorithms to empower the process of manual methods, resulting in a more efficient and accurate outputs.


Automatic Contouring for Radiation Therapy
AI-based imaging segmentation for radiation treatment.
Fast
Automated
Streamlined


With our technology, contouring of scans can be accomplished in mere seconds using pre-defined structure set templates from the planning stage.
Our scans are automatically generated and sent immediately to treatment planning system after each scan.
Optimized to minimize waste of time and resources, improve accuracy and productivity, and provide a smoother and more efficient overall experience.
Full Automation








CT Scan
DAM Contour
Treatment planning

Extensive Structure Library
The DAM Contour features a comprehensive collection of OARs and CTVs that are ready for immediate use, without the need for manual creation of atlases or manual adjustment of data. This product includes all standard OAR and CTV structures (over 117 in total).


















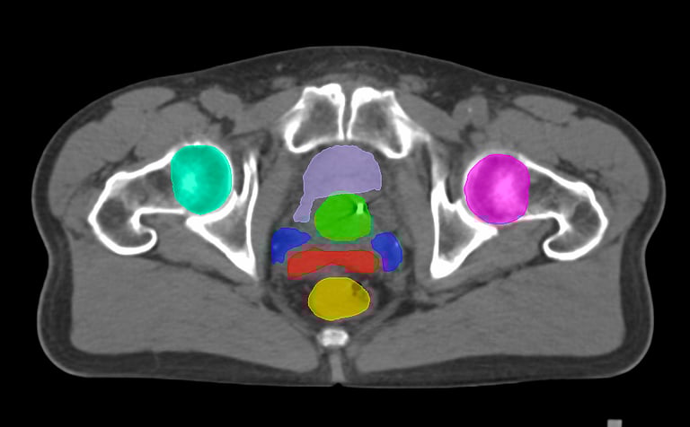
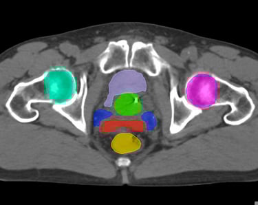
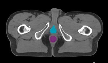
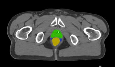
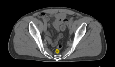
The Pelvis lymph node region encompasses lymph nodes that include the obturator lymph nodes, internal and external iliac lymph nodes (limited anteriorly at the level of the femoral heads), and extends up to the common iliac lymph nodes, covering the L5/S1 region.
Pelvis
*We are engaged in a collaborative effort with healthcare facilities, particularly hospitals, to enhance and develop this task. Our aim is to create a state-of-the-art solution that meets the specific requirements and needs of clinicians. By partnering with healthcare professionals, we can create a solution that is both effective and practical.
Request co-operation



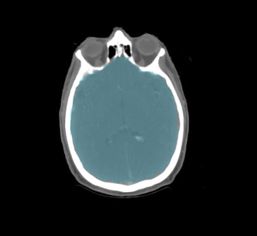
Head & Neck
Choose from a combined structure volume including BrainStem, Brain, Chaism, Mandible, Optic nerves Trachea and many more, or choose individual split sub-levels.


*We are engaged in a collaborative effort with healthcare facilities, particularly hospitals, to enhance and develop this task. Our aim is to create a state-of-the-art solution that meets the specific requirements and needs of clinicians. By partnering with healthcare professionals, we can create a solution that is both effective and practical.
Request co-operation



















